
Jacqueline Fagard, directrice de recherche émérite au CNRS, a étudié la coordination bimanuelle dans l’espèce humaine. L’autrice de La Vie secrète du fœtus (Mardaga, 284 pages, 29,90 euros) revient sur ce que l’étude des nourrissons, mais aussi des fœtus in utero, a permis d’apprendre sur l’origine de la latéralité.
Pourquoi vous êtes-vous intéressée à l’apparition de la latéralité tôt dans le développement de l’individu ?
Avant de rédiger ma thèse, j’ai fait un stage à Harvard dans l’équipe du psychiatre Peter Wolff (1926-2021), qui s’intéressait aux enfants dont le corps calleux, la structure cérébrale qui relie les deux hémisphères, avait été sectionné pour soulager des épilepsies sévères. Au cours des premiers jours après l’opération, les enfants ont du mal à coordonner leurs deux mains – l’une contredit l’autre –, puis ils s’adaptent.
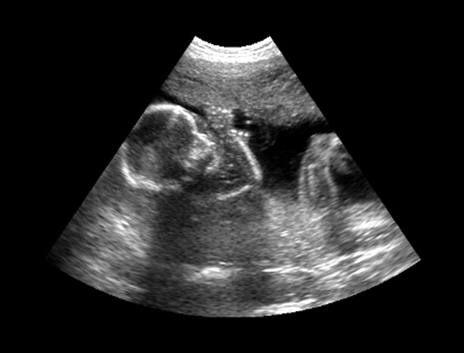
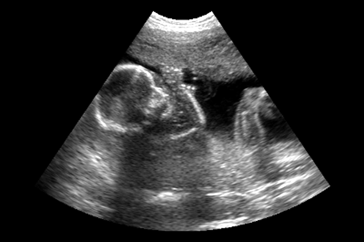
J’ai donc travaillé sur la coordination bimanuelle, sur la façon dont une main joue un rôle de support quand l’autre, généralement la droite, est plus active. J’ai fini par m’intéresser à la latéralité tout court. La stratégie à l’époque était d’observer l’enfant après la naissance, mais si on voulait remonter à l’origine, il fallait pouvoir l’étudier in utero.
Il vous reste 82.83% de cet article à lire. La suite est réservée aux abonnés.



















